Human Pathology
The investigation of disease in humans has, understandably, been one of the primary focal points in medicine for thousands of years. The image gallery presented in this section attempts to illustrate, through use of the brightfield microscope, many of the pathological conditions that are readily observed in stained human specimens. Each image was chosen for artistic merit, photographic quality, and content. Note that several of the images in this gallery might not depict every aspect of the pathological condition under which they are catalogued.
Adenomyosis
Adenomyosis generally affects scattered areas of the uterine wall, typically making the condition unsuitable for localized surgery. A complete hysterectomy is usually the treatment of choice, estimates indicating that the procedure is 80 percent effective in eliminating common symptoms of adenomyosis. Depending on the severity of the specific symptoms and the reproductive intentions of the patient, other treatments may be recommended.
Alveolar Cell Carcinoma
In the United States, lung cancer is the leading cause of cancer-related death among both men and women. The popularity of smoking is usually considered accountable for the prevalence of the disease, since cigarettes have been linked to about 90 percent of lung cancer cases in men and 80 percent in women. A few specific types of lung cancer, however, such as alveolar cell carcinoma, appear to have no relationship to smoking.
Anthracosis
Anthracosis is the term utilized to describe black lung disease before it has progressed to such an extent that symptoms of the disease are palpable. The condition most often develops gradually over the course of many years and is characterized by black spotting or marbling of the lungs. The dark pigmentation associated with anthracosis primarily is caused by excessive exposure to carbonaceous material, which may stem from soot, diesel exhaust, coal, or other sources of carbon-containing dusts.
Aortic Atherosclerosis (Older Lesion)
When severely affected by atherosclerosis, the flow of blood through the aorta can be hindered and oxygen deficiency (ischemia) or gangrene can develop. Atherosclerosis is also the primary underlying cause of heart attacks, strokes, and aortic aneurysms, which are blood-filled dilations of the vessel wall. The rupture of an aneurysm can be deadly due to the hemorrhaging it causes.
Astrocytoma
An astrocytoma is a primary tumor of the central nervous system that develops from the large, star-shaped glial cells known as astrocytes. Most frequently astrocytomas occur in the brain, especially in the frontal and temporal lobes of the cerebrum, but occasionally they appear along the spinal cord. No one knows what causes the tumors, which may affect anyone of any age but occur most often in middle-aged men.
Basal Cell Carcinoma
Basal cell carcinoma is the most common type of cancer that occurs in humans. In the United States alone, an estimated 900,000 people develop basal cell carcinoma each year, and by most accounts, that number will continue to grow as the Earth's protective ozone layer becomes increasingly compromised. Individuals with fair skin that tends to burn rather than tan, blue or green eyes, and blonde hair are among those that are most likely to acquire the disease.
Benign Prostatic Hyperplasia
Many men with benign prostatic hyperplasia experience urinary problems related to the condition. As the prostate enlarges, the gland places increasing pressure on the urethra, often resulting in difficulty beginning or ending urination, an inability to completely empty the bladder, decreased urine flow, and frequent urination. In the most severe cases, complete blockage of the urethra occurs, which may lead to kidney damage.
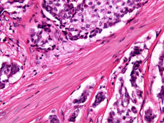
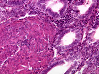
Breast Adenocarcinoma
Breast cancer is the most common cancer among women worldwide, excluding nonmelanoma skin cancers. The vast majority of breast cancers originate in the glandular tissues of the breast and are, consequently, classified as adenocarcinomas. Both the lobular tissues, which produce milk, and ductal tissues, which are involved in the transfer of the milk to the nipple, are considered glandular tissues and, therefore, may give rise to adenocarcinomas.
Bronchiectasis
Bronchiectasis is an abnormal, permanent dilation of the bronchial tubes in the lungs. The condition can result from a number of different causes. For example, obstructions, such as those posed by foreign objects (often accidentally ingested during childhood) or tumors, can prevent the elimination of fluid emissions from the bronchi, resulting in their expansion.
Bronchogenic Carcinoma
When bronchogenic carcinoma, or primary lung cancer, was first described in the mid-1850s, it was thought to be a relatively rare occurrence. Over the course of the twentieth century, however, the proportion of the population affected by bronchogenic carcinoma rose tremendously, and today the disease is the leading cause of cancer-related death among both men and women in the United States.
Bronchopneumonia
Young children and the elderly are particularly susceptible to bronchopneumonia, but anyone may contract the disease. Pneumococcal vaccinations are recommended for individuals in high-risk groups and provide up to 80 percent effectiveness in staving off pneumococcal pneumonia. Influenza vaccinations are also frequently of use in decreasing one's susceptibility to pneumonia, since the flu precedes pneumonia development in many cases.
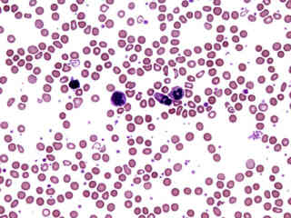
Burr Cell Uremia
Uremia is a condition in which urea and other nitrogenous substances accumulate to an abnormally high level in the blood. Symptoms of uremia often initially include fatigue, loss of appetite, edema, excessive thirst, and decreased concentration, and progression of the condition may lead to a rapid pulse, anemia, diarrhea, convulsions, discoloration of the skin, coma, and even death.
Cavernous Hemangioma
Hemangiomas are benign vascular tumor-like growths that usually present themselves at birth or soon thereafter. The abnormal dense collections of blood vessels may occur in the muscles, internal organs, and mucous membranes, but are most familiar along the surface of the skin. Hemangiomas of the skin are usually classified into three basic groups: capillary hemangiomas, immature hemangiomas, and cavernous hemangiomas.
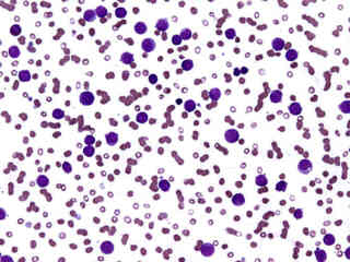
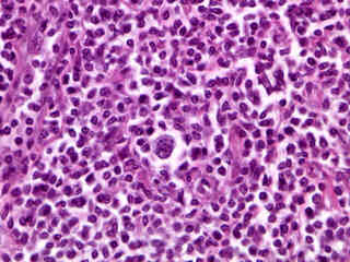
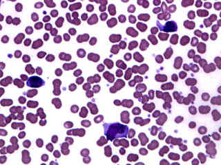
Chronic Lymphocytic Leukemia
In the initial stages of chronic lymphocytic leukemia, patients are usually asymptomatic. Consequently, the disease is typically only discovered early if an individual undergoes a blood count as part of a regular medical examination or while under observation for another medical problem. An abnormally high number of white blood cells is the best early indicator that a patient may have a form of leukemia.
Chronic Pneumonia
The likelihood that an individual will contract pneumonia depends upon many different factors, as does the severity of the disease when it does occur. Risk of the disease is particularly elevated for the elderly and for very young children whose immune systems are still in an immature state. Similarly, anyone who has a compromised immune system due to other diseases, such as HIV or AIDS, or to certain medications are also more likely to develop pneumonia.
Colon Adenocarcinoma
Frequently colon adenocarcinoma is asymptomatic in its earliest stages. When symptoms do develop, they generally are manifested as disorders of digestion and waste eradication. Among the most common symptoms of the disease are diarrhea, constipation, pain in the abdomen, appearance of blood in the stool, and appetite loss.
Colon Carcinoma
Each year in the United States about 50,000 people die from colon cancer, making it one of the leading causes of cancer-related death in the country. In some other parts of the world, such as Asia and Africa, colon cancer is much less common, a fact often attributed to the Western diet, which tends too be high in fat and low in fiber. Statistics indicate that in countries whose inhabitants are increasingly eating like Americans colon cancer rates are rising.
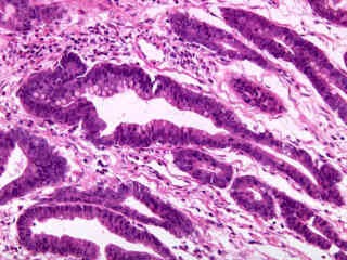
Colon Villous Adenoma
Several subtypes of adenomas have been described, which chiefly are differentiated from one another by microscopic observation of the manner in which the cells of the growths are organized. Villous adenomas are usually sessile polyps that have an architecture predominantly characterized by the presence of finger- or frond-like projections. These growths are more likely than any other type of adenoma to become cancerous.
Coronary Atherosclerosis
Many individuals who have been diagnosed with coronary atherosclerosis take medications to help hinder further progression of the disease. The class of drugs known as statins, which effectively reduce elevated cholesterol levels, have been especially useful in the battle against the condition and other forms of heart disease.
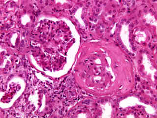
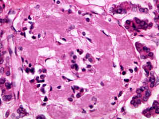
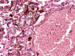
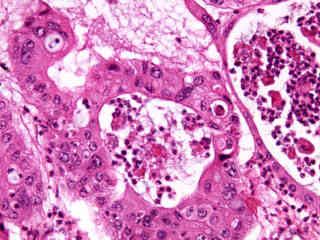
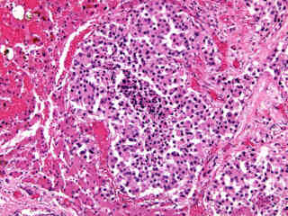
Diabetes in Kidney Tissue
Today diabetes is counted among the leading causes of death and disability in the United States. In 2002, 6.3 percent of all Americans were reportedly diabetic, with more than a million new cases being diagnosed each year. Even more disturbing is the fact that a large percentage of the people believed to be diabetics are not aware they have the disease.
Diabetes Mellitus in Pancreatic Tissue
Diabetes mellitus is usually not considered a single disease, but rather a group of three different disorders that appear to have different causes though they result in similar symptoms. Type I insulin-dependent diabetes, formerly known as juvenile-onset diabetes, accounts for only 5 to 10 percent of all diabetics. The condition typically develops suddenly and often initially appears in people under the age of 30, though it may occur at any age.
Emphysema
Emphysema is characterized by a deterioration of the elasticity of the lungs, which results in collapse of the alveolar walls and degeneration of the pulmonary capillaries. Consequently, large pockets of air may fill the lungs, but cannot be readily exhaled because the damage present in the organs hinders them from effectively pushing the air out. Early signs of the disease are breathlessness during physical exertion and a mild, chronic cough.
Endometrial Adenocarcinoma
The endometrium is the lining of the uterus that periodically thickens and sheds during a woman's reproductive years. When menopause occurs, this cycle is ended and hormone changes ensue. Consequently, postmenopausal women are at greater risk for certain adverse health conditions, including endometrial neoplasms, which are the most common and most readily cured kind of uterine cancers.
Eosinophilia
Eosinophils are members of the granulocytic class of white blood cells that function primarily in fighting infections of parasites and in allergic reactions. The cells, which are so-named for the eosin-staining granules they contain, generally comprise one to three percent of the total white blood cell count in a healthy individual. Persons who exhibit an abnormally large number of eosinophils are said to have eosinophilia.
Esophageal Carcinoma
The esophagus is the portion of the digestive tract that links the throat to the stomach and is located between the trachea and the spine. The primary function of the muscular tube is to move food along its tract so that the digestive process may be completed in other portions of the body. Cancer of the esophagus can greatly hinder this task, often making swallowing difficult and painful.
Fibroadenoma
A fibroadenoma is a common benign tumor of the breast found in an estimated 10 percent of all women. Approximately 10 to 15 percent of affected individuals have multiple fibroadenomas. The solid masses are most prevalent in young women between the ages of 15 and 30 and tend to grow larger in women that are pregnant.
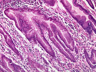
Gastric Adenocarcinoma
Stomach cancer is unusual in that its incidence in the United States has declined considerably over the last hundred years, whereas many other malignancies have become more prevalent. The downward trend is primarily attributable to the significant reduction in the use of certain food preservation techniques, including salting, smoking, and pickling, since the invention of the refrigerator and its widespread dissemination in America.
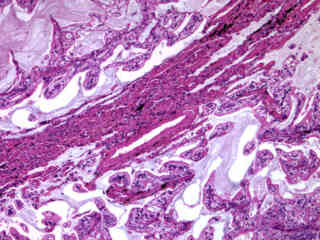
Gastric Carcinoma
The staging of stomach cancer is complicated, but is generally based on how far the tumor has advanced through the gastric wall and how many lymph nodes have been affected. Treatment for the disease is largely based upon its progression as indicated by the staging process. If the cancer is localized, a partial gastrectomy, which involves the surgical removal of portions of the stomach, is generally the treatment of choice and may result in a permanent cure.
Granulocytic Leukemia (Acute)
Acute granulocytic leukemia is a common form of adult-onset leukemia, with more than an estimated 10,000 American men and women being diagnosed with the disease each year. The risk of developing acute granulocytic leukemia increases with age, and men are more susceptible to it than women. In most cases, the cause of the disease is never identified, but in some individuals acute granulocytic leukemia has been associated with exposure to radiation or certain chemicals, such as benzene.
Hashimoto’s Disease
Hashimoto’s disease is an autoimmune disorder first described in 1912 by the Japanese physician Hashimoto Hakaru. The disorder is centered in the thyroid gland, an endocrine gland located beneath the larynx in the throat that secretes a number of different hormones that are chiefly involved in metabolism and growth. Many individuals who have Hashimoto’zs disease do not display symptoms, though testing of their blood may indicate that the thyroid hormones in their system are imbalanced.
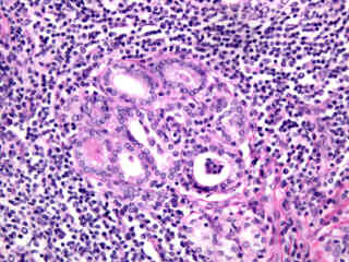
Hematogenous Pyelonephritis
Pyelonephritis is a common kidney disorder that occurs in both chronic and acute forms. The condition typically is the result of a bacterial infection and is characterized by inflammation of the kidney tissue. Most commonly, the infection is caused by fecal bacteria ascending upward through the urinary tract, but bacteria may also be introduced to the kidneys via the bloodstream, in which case it is referred to as hematogenous pyelonephritis.
Hemolytic Anemia
Red blood cells develop in the bone marrow and, in a typical healthy human, survive in the circulatory system for 100 to 120 days. The premature breakdown of red blood cells, an event that can occur due to a wide range of disorders and conditions, is known as hemolysis. When the bone marrow of an individual is unable to produce enough red blood cells to offset those that are precipitately lost, hemolytic anemia ensues.
Hemorrhoids
Approximately half of all Americans experience hemorrhoids by the time they are 50 years old. A special variety of varicose vein, a hemorrhoid is an abnormally distended vein located either in the rectum or in the outer area surrounding the anal opening. When hemorrhoids occur internally, they often go unnoticed for long periods of time, although they may produce some bleeding.
Hepatitis
The means of hepatitis transmission varies depending upon the virus responsible for the inflammation. The hepatitis viruses A, E, and F are predominantly spread via the fecal-oral route through food or water that has been contaminated. These viruses are primarily responsible for epidemics of hepatitis in many less-developed regions of the world where crowded conditions and inadequate sanitation are often problems.
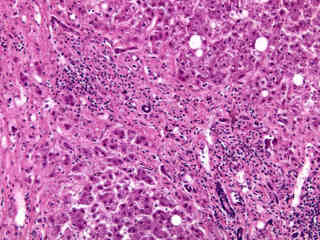
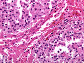
Hepatocellular Carcinoma
In addition to certain hepatitis viruses, hepatocellular carcinoma is commonly linked to cirrhosis of the liver. Approximately 3 to 5 percent of the population with cirrhosis is diagnosed with hepatocellular carcinoma each year, and about 80 percent of all people with hepatocellular carcinoma are cirrhotic. The malignant tumors of the liver are also, in some cases, attributable to exposure to aflatoxins, a group of toxic compounds produced by various molds.
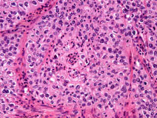
Hodgkin’s Granuloma
Hodgkin’s is a malignant disease of the lymphatic system that was characterized in 1832 by the English physician Thomas Hodgkin. The disease is differentiated from other forms of lymphoma by the presence of Reed-Sternberg cells in the areas affected by the cancer. Since the late 1990s, many members of the medical community have come to the conclusion that Reed-Sternberg cells are a malignant form of B lymphocyte, the type of cell that is normally involved in the production of antibodies.
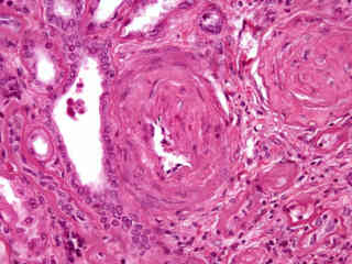
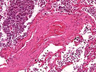
Hyperplastic Arteriosclerosis
Arteriosclerosis, often described as a thickening and hardening of the arteries, appears in various forms and can be related to a number of different causes. Hyperplastic arteriosclerosis is characterized by a pattern of thickening commonly likened to an onion skin, concentric laminations of smooth muscle cells and basement membranes being deposited one on top of the other in layers.
Iron Deficiency Anemia
Anemia is a condition characterized by a bodily insufficiency of red blood cells, hemoglobin, or a combination of the two. Many different types of anemia with a wide array of underlying causes have been identified, but the most common form of the disease worldwide is known as iron deficiency anemia. As suggested by its name, iron deficiency anemia is related to a paucity of the mineral iron, which the body requires to produce hemoglobin.
Keloid Scars
Scars are formed by the collagen produced by fibroblasts in the area of the injury. Initially scars may have a raised or bumpy appearance, but over time tend to diminish in size and flatten. Sometimes, however, fibroblasts do not cease to produce collagen at the proper time, and the resultant scar swells with the fibrous protein to unusual proportions. If this growth remains restricted to the original location of the wound then it is referred to as a hypertrophic scar, but if it extends past the boundaries of the injured area, then the overgrown scar is called a keloid.
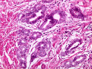
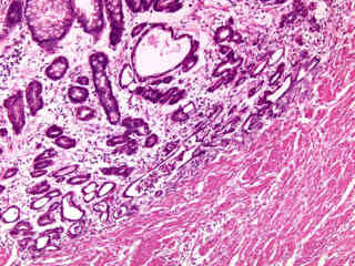
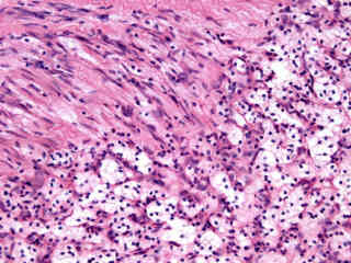
Kidney Adenocarcinoma
Kidney adenocarcinoma, also known as renal cell carcinoma, is the most common form of kidney cancer in adults. Similar to most types of cancer, scientists do not yet know exactly what causes adenocarcinoma of the kidneys, though a number of risk factors have been identified. Smoking is one of the most notable of these factors, smokers being twice as likely as non-smokers to develop the disease.
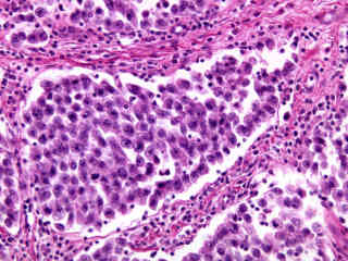
Laryngeal Squamous Cell Carcinoma
The vast majority of cancers that affect the larynx arise in the squamous cells of the epithelial lining. Only about 5 percent of laryngeal tumors develop in the glands beneath the epithelium or other areas of the larynx. Generally, squamous cell carcinomas of the larynx initiate from one of several different precancerous conditions, such as squamous intraepithelial neoplasia or dysplasia.
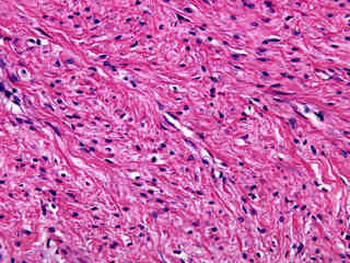
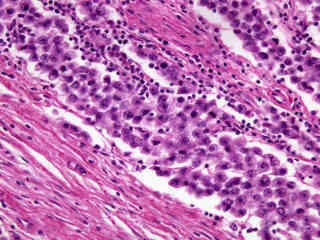
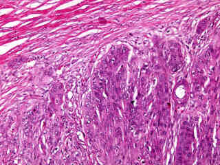
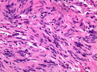
Leiomyosarcoma
By the time that leiomyosarcoma is diagnosed, often the cancer has metastasized. Unlike other soft tissue sarcomas, this metastasis usually affects the liver and the peritoneum first, instead of the lungs. The treatment for leiomyosarcoma most commonly involves surgery, but radiation therapy and chemotherapy are also sometimes utilized though they are ineffective against certain types of the disease.
Lipoma
Lipomas are benign fatty tumors usually located in subcutaneous tissues, though they may also occur in other locations, such as the internal organs and the internal auditory canal. The masses are comprised primarily of mature adipocytes, which are generally surrounded by a fibrous capsule that makes them easily distinguishable from surrounding tissues. In such cases, the tumors have a doughy feel and can easily be moved around under the surface of the skin.
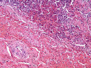
Liver Cirrhosis
Liver cirrhosis is an irreversible condition, but its progression can be slowed or even halted with proper treatment. Treatment of cirrhosis is generally targeted at the primary cause underlying the disease. When related to alcohol consumption, simply abstaining from alcoholic beverages and other drugs can alleviate many symptoms and hinder the advancement of the disease.
Lobar Pneumonia
When pneumonia is restricted to a single lobe of the lung or to a portion of a lobe, it is referred to as lobar pneumonia. Pneumonia that has more extensively spread through the lungs is known as bronchopneumonia. The Gram-positive bacterium Streptococcus pneumoniae (also called pneumococcus) is responsible for most cases of lobar pneumonia. Other leading causes of the disease include infection with Mycoplasma, Legionella, or other Gram-negative organisms.
Lung Abscess
An abscess of the lung is a cavity filled with pus encircled by inflamed tissue that is typically caused by infection. Lung abscesses can be caused by a variety of bacteria and other microorganisms, many of which inhabit the mouth and throat and can be inhaled into the lungs. In most individuals, such bacteria are inhibited in their migration toward the lungs by the body's natural defenses, such as coughing and the gag reflex.
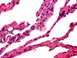
Lung Adenocarcinoma
Adenocarcinoma is usually a slow-growing cancer, but can be difficult to detect because the disease typically involves the periphery of the lung, resulting in fewer early symptoms than cancers that develop centrally, near the airways. When signs of the disease do occur, they may include painful breathing, shortness of breath, wheezing, and a persistent cough.
Lung Epidermoid Carcinoma
Epidermoid lung tumors characteristically are comprised of cells that are flat and scale-like. Often they do not metastasize as quickly as other lung cancers, which frequently make them easier to treat if caught early. When metastases do occur, they typically invade the tissues of the liver, brain, small intestines, adrenal glands, and bones.
Lymph Node Metastatic Carcinoma
When cancer has spread to regional lymph nodes, it is often referred to as nodal involvement or regional disease. If cancer cells become lodged in distant lymph nodes or other remote areas of the body, however, the condition is usually termed metastasis or metastatic disease. Frequently metastasis occurs downstream from the site of the primary tumor, as liberated cancer cells move along the path normally taken by lymph in the lymphatic system or blood in the circulatory system.
Lymphocytic Leukemia (Acute)
As suggested by its name, a lymphocytic leukemia is one that affects lymphocytes, which in a healthy individual comprise about 20 to 30 percent of the total white blood cell count. Normally, lymphocytes and other mature white blood cells form from stem cells in the bone marrow. The source cells of lymphocytes, however, which are known as lymphoblasts, multiply uncontrollably in the bone marrow of patients with acute lymphocytic leukemia, interfering with the production of normal blood cells.
Malignant Melanoma
Melanoma is a form of skin cancer that stems from melanocytes, the pigment-producing cells found in the basal layer of the epidermis. The most virulent of the skin cancers, more than 7,000 Americans die each year from melanoma, accounting for the vast majority of all skin cancer deaths. Nearly 90,000 new cases are diagnosed annually in the United States, and according to many reports that number is rising steadily.
Malignant Schwannoma
Malignant schwannomas are rare and are classified among the soft tissue sarcomas, accounting for about ten percent of all such tumors diagnosed. They are frequently alternatively referred to as neurofibrosarcomas or malignant peripheral nerve sheath tumors. Individuals between 20 and 50 years of age are more likely to develop malignant schwannomas than children or the elderly, but the tumors can appear at any age.
Meningioma
The meninges are the three membranes that surround the brain and spinal cord. A meningioma is a type of frequently benign tumor that develops in the outermost of these membranes, the dura mater. The cells of origin of meningiomas are the arachnoid cap cells that line the inner dura mater, and therefore, the tumors can develop anywhere these cells are found.
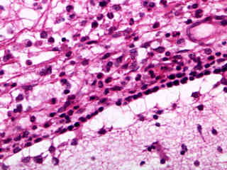
Meningitis (Acute)
The most dangerous varieties of meningitis are of bacterial origin, some being capable of causing death within only a few hours of the onset of symptoms. The first sign of the disease is often vomiting, which is usually followed by an excruciatingly intense headache that develops from escalated cerebrospinal fluid pressure. Other symptoms may include confusion, drowsiness, fever, sensitivity to light, and a skin rash.
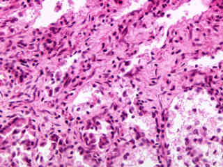
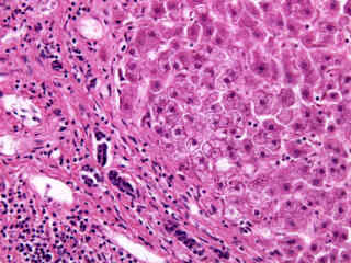
Metastatic Carcinoma in Liver Tissue
Typically metastases in the liver are not discovered due to their symptoms, but rather from routine testing associated with a patient's primary tumor. Occasionally, however, metastasis-related symptoms are observed before there is any other indication of cancer. Nevertheless, simple analysis of tumor cells can establish that liver growths are secondary rather than primary since such tumors are composed of abnormal cells from a non-hepatic tissue.
Metastatic Carcinoma in Lung Tissue
Approximately 30 percent of all metastatic cancers involve one or more secondary tumors in the lungs. In fact, cancer in the lungs is more often metastatic disease rather than a primary neoplasm. Some of the most common cancers that lead to secondary pulmonary tumors are breast, stomach, prostate, thyroid, colorectal, and kidney cancers, testicular teratomas, bone sarcomas, choriocarcinomas, and melanomas.
Metastatic Melanoma in Lung Tissue
Once melanoma has metastasized the cancer is associated with a very poor prognosis. The outlook is worst for those who have several different organs with metastases, while it is somewhat better for patients with metastatic cancer restricted to a single site, even when this site is affected by multiple tumors.
Mononucleosis
Often known simply as mono or the kissing disease, mononucleosis is a common viral disease that usually occurs in individuals between the ages of 15 and 35. The infection generally spreads via saliva exchange and is thought to be caused by the Epstein-Barr virus, a member of the herpesvirus family. Symptoms of mononucleosis are varied, but frequently include fever, fatigue, and sore throat.
Myelomonocytic Leukemia (Acute)
Many of the early symptoms of acute myelomonocytic leukemia and other types of acute myelogenous leukemia are nonspecific, often consisting of fever, weakness, unexplained weight loss, fatigue, and aching bones and joints. Other indications of disease may include repeated infections, slow wound healing, frequent and easily produced bruising and bleeding, and spotting of the skin.
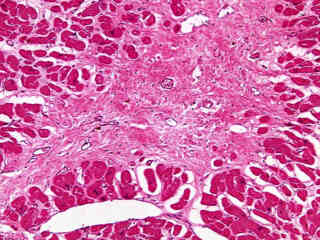
Myocardial Infarction (Acute)
Acute myocardial infarction is the medical term for the event commonly referred to as a heart attack. One of the leading causes of morbidity and mortality in America and most other industrialized nations, myocardial infarction involves death to tissues of the heart due to a blockage-related inability of sufficient oxygen to reach the organ. Though symptoms of a heart attack vary, they frequently include chest pain or pressure that may radiate into the jaw, shoulders, arms, or back, shortness of breath, nausea, vomiting, lightheadedness, sweating, and anxiety.
Myocardial Infarction (Old)
Myocardial infarction was initially described in the early 1900s by American physician James Brian Herrick. The condition was initially called coronary thrombosis due to its primary cause, but eventually myocardial infarction became the preferential term due to the fact that death to the heart muscle is directly responsible for the pain and other signs of a heart attack, rather than the arterial blockage that usually precedes it.
Neurilemmoma
Neurilemmomas are benign tumors that originate in the Schwann cells that comprise nerve sheaths. Accordingly, the neoplasms are sometimes alternatively referred to as benign schwannomas. The cause of neurilemmoma growth is unknown, but the tumors are occasionally associated with von Recklinghausen disease. Neurilemmomas are typically encapsulated and well defined.
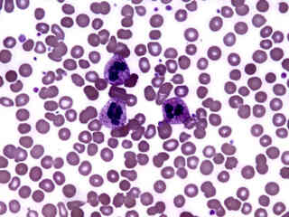
Neutrophilia
Though bacterial infection is the most common cause of true cases of neutrophilia and exercise and intense emotions are the most familiar origins of the transient form of the condition, neutrophilia can also be traced to a number of other causes. For instance, inflammations unrelated to infectious agents, such as gout, rheumatic fever, and glomerulonephritis, can often lead to neutrophilia, as can burns, injuries, and surgical operations.
Oat Cell Carcinoma
Oat cell carcinoma accounts for approximately 15 to 20 percent of all lung cancer diagnoses. Most oat cell tumors initially form in a central location in the lungs, often in the major bronchial tubes. This origin of formation is consistent with the fact that smoking is well established as the primary contributing factor in the onset of oat cell carcinoma.
Occlusive Atherosclerosis
Atherosclerosis is the thickening and hardening of the arteries associated with deposits, or plaques, building up along the inner lining of the vessels. Plaques may contain a variety of materials, including cholesterol, fatty substances, calcium, and fibrin. As plaques increase in thickness, they progressively occlude the flow of blood through the affected artery. Blood clots that form over top of the plaques can cause further obstruction.
Osteogenic Sarcoma
Similar to many types of cancer, the symptoms of osteogenic sarcoma vary and are often dependent on tumor location and the extent of the disease. The malignant growths most commonly occur in the large bones of the arms and legs, thus, pain and swelling in these areas may be observed. The knee is another frequent place osteogenic sarcomas are found, and tumors in this area are often accompanied by joint pain and limited movement.
Ovalocytosis
The red blood cells of certain animals, such as reptiles, amphibians, fish, birds, camels, llamas, and alpacas, are naturally oval in shape, but in other species ovalocytosis is an abnormal condition related to hereditary or acquired disease. In the latter cases, ovalocytosis often causes mild hemolytic anemia, which may or may not requite treatment. The condition can also develop into a more serious problem, and severe cases of anemia may necessitate the removal of the spleen or blood transfusions.
Ovarian Adenocarcinoma
Ovarian cancer is a relatively rare disease, but is the fifth leading cause of cancer-related death among American women. A number of factors contribute to the unusually large number of fatalities associated with the disease. Most notably, the symptoms of ovarian cancer are generally vague and are frequently attributed to other conditions, delaying the diagnosis of the disease.
Ovarian Endometriosis
When endometrial tissue is found in areas of the body outside of the uterus the condition is known as endometriosis. The locations in which endometriosis most commonly occurs include various components of the pelvic cavity, such as the ovaries, fallopian tubes, and the urinary bladder. In very rare instances, endometriosis may develop in the lungs, brain, or other organs significantly removed from the uterus.
Peptic Ulcer
The most characteristic symptom of a peptic ulcer is pain, typically in the mid-upper region of the abdomen. This pain often takes the form of an aching, burning, or gnawing feeling and tends to vary in its intensity depending on the digestive state. Gastric ulcers generally cause the greatest pain soon after a meal is consumed, whereas duodenal ulcers are generally considered to be most painful between meals, when the stomach is empty.
Pernicious Anemia
Anemia is a condition of the blood characterized by a deficiency of erythrocytes (also known as red blood cells), hemoglobin, or total volume. Nearly 100 different types of anemia with a wide array of underlying causes and symptoms have been described. Pernicious anemia is a form of the disease that is associated with an inability of the body to absorb vitamin B12.
Plasmodium vivax Infection
Individuals with malaria caused by Plasmodium vivax rarely die, unlike individuals infected with P. falciparum, but are much more likely to endure repeated bouts of the disease. The prolonged problems associated with P. vivax are generally believed to involve a persistent form of the parasite (hypnozoite) that inhabits the liver and can lead to repeated relapses.
Polycythemia
Polycythemia is a condition characterized by an abnormal proliferation of erythrocytes in the blood. This increased presence of erythrocytes thickens the blood and slows its flow through the body, as well as elevates the risk of blood clot formation. Consequently, polycythemia can sometimes culminate in pulmonary embolism, stroke, heart attack, or other thrombosis-related events.
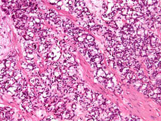
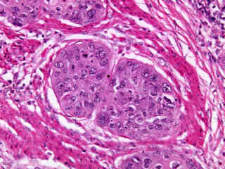
Prostate Carcinoma
Prostate carcinoma is second only to skin cancer as the most prevalent cancer among men in the United States. This type of tumor is most commonly discovered in men over the age of 55 and has a higher incidence among African Americans than Caucasians. In other parts of the world, prostate cancer rates vary greatly. Asian countries, such as China and Japan, report some of the lowest incidences of the disease.
Pulmonary Edema
Since cardiovascular disease is the most common cause of pulmonary edema, following steps that reduce the risk of cardiovascular problems also decreases one's risk of fluid accumulation in the lungs. One of the most important of these steps is controlling blood pressure. In the United States, around 50 million people are affected by high blood pressure, which is currently defined as having a resting blood pressure consistently 140/90 millimeters of mercury (mm Hg) or higher.
Ruptured Ectopic Pregnancy
In a normal pregnancy, fertilization takes place in the uterine tube and then the fertilized egg travels along the tube to the main cavity of the uterus, where it is implanted in the uterine lining. In an ectopic pregnancy, the ovum never completes the journey to the uterine cavity. Instead, implantation occurs in the uterine tubes, abdomen, or even, in rare instances, in the ovarian follicle if fertilization takes place before the egg is released.
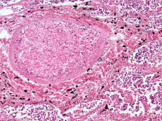
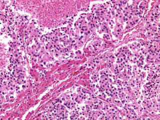
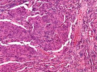
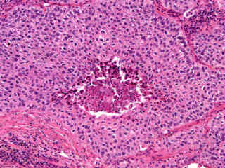
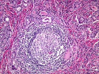
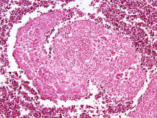
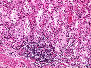
Sarcoidosis
Sarcoidosis is a disease that most commonly affects the lungs and is characterized by the inflammation of tissues resulting in the formation of the small aggregations of cells known as granulomas. In addition to its most customary pulmonary form, sarcoidosis may affect the skin, eyes, lymph nodes, muscles, liver, and most any other tissue in the body.
Scar Tissue
Scars can never be completely eradicated, but a number of techniques have been developed that can greatly improve their appearance. For many scars, dermabrasion, which involves the use of an electrical machine to remove the outer layers of the skin to provide a more even contour, and laser resurfacing, in which high-energy laser light is used to eliminate damaged tissue, can be very beneficial.
Sickle Cell Anemia
Normally, mature erythrocytes have a rounded, biconcave shape that is flexible enough for the small cells to squeeze through even the smallest of blood vessels. In individuals with sickle cell anemia, however, many red blood cells assume a rigid sickle-like shape that can hinder their passage through diminutive capillaries, resulting in oxygen deficiency to certain tissues as blockages form.
Silicosis
Silicosis is a disease of the lungs caused by excessive or chronic exposure to silica dust. Silica is the chief mineral component of sand and is found in many varieties of rock and in mineral ores. Thus, individuals employed in certain occupations, such as sandblasting, mining, grinding, and drilling, are at increased risk for developing the disease.
Squamous Cell Carcinoma
Squamous cell carcinoma is a type of cancer that develops in epithelial tissues. It may occur along the surfaces of a number of different organs, but is most familiar as a disease of the skin. In fact, squamous cell carcinoma accounts for about 20 percent of all non-melanoma skin cancers and is most often attributed to chronic exposure to the ultraviolet radiation of the sun.
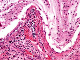
Squamous Cell Papilloma
Papillomas are typically benign growths of the epithelium caused by a human papilloma virus (HPV). When found on the skin, papillomas are more commonly referred to as warts or corns. The growths arise from a single infected cell and characteristically exhibit small fingerlike projections. Papillomas are usually not painful and those located on mucus membranes, especially along the genital tract, may go unnoticed for long periods of time.
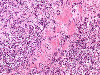
Suppurative Appendicitis (Acute)
Appendicitis is an inflammation of the appendix, a widely familiar condition that afflicts approximately 7 percent of the American population at some point in their lives. In parts of the world where dietary fiber is consumed in significantly greater amounts, incidence of appendicitis is lower. The condition is most common in individuals that are between 10 and 30 years of age, but can occur in all age groups.
Tattoos
Most modern tattoos are produced with an electrically powered machine that rapidly moves a needle up and down so that the insoluble micrometer-sized particles of ink it contains are injected into the skin quickly and at an even depth, generally one-eighth inch past the skin's surface. The original electric tattooing machine was developed in the late nineteenth century and was largely based on an engraving apparatus invented by Thomas Edison.
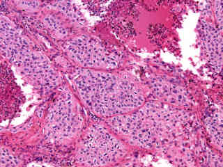
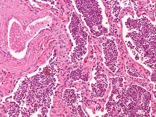
Testicular Seminoma
Testicular cancer is one of the most prevalent types of cancer that occurs in men from ages 15 to 34. Approximately 95 percent of testicular tumors stem from germ cells. Seminomas, which are widely considered to develop from the germinal epithelium of the seminiferous tubules, account for approximately half of all germ cell tumors.
Thalassemia Minor
Thalassemia minor is the least serious of the forms of beta thalassemia. In fact, the condition is often asymptomatic, though patients with the disease produce red blood cells that are smaller than normal and are, therefore, capable of carrying less oxygen than typical red blood cells. Thalassemia minor is sometimes accompanied by mild anemia and on rare occasions can lead to minor swelling of the spleen.
Third-Degree Burns
Third-degree burns are typically considered those that involve the destruction of the entire thickness of the skin, penetrating the epidermis and dermis as well as the structures located within these layers, including the blood vessels, hair follicles, sweat glands, and sebaceous glands. Since pain receptors are also destroyed by third-degree burns, this type of injury is often initially less painful than a first- or second-degree burn, and may simply seem numb to the burn victim.
Toxoplasmosis
Ocular injury and other serious effects of toxoplasmosis are much more likely to occur in individuals with weakened immune systems. In AIDS patients, for instance, a form of encephalitis may develop following infection with Toxoplasma gondii. Symptoms of toxoplasmic encephalitis include headache, fever, psychosis, and impaired vision, speech, movement, and thought capacity.
Tuberculosis
Tuberculosis was the primary cause of death among Westerners of all ages during the eighteenth and nineteenth centuries when industrialization and urbanization surged, and continues to be a primary contributor to mortality in some parts of the world in modern times. In fact, approximately 3 million people die each year from the disease, and in 1993, the World Health Organization declared tuberculosis a global health emergency.
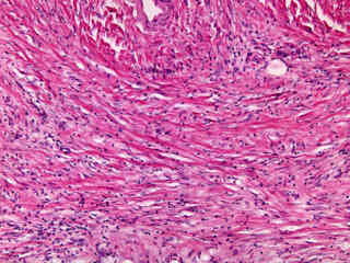
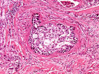
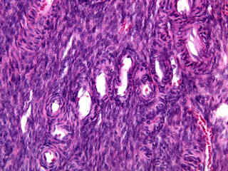
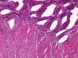
Uterine Leiomyoma
Uterine leiomyomas are very common, causing symptoms in nearly a quarter of all women of reproductive age. It is widely believed that a much larger proportion of the female population has uterine leiomyomas, but many of them are unaware of the benign tumors because they are asymptomatic.
Ulcerative Colitis
The cause of ulcerative colitis has not yet been identified, though many researchers consider it an autoimmune disorder. According to this view, the immune system is in a chronically active state although no bacteria, viruses, or other invaders are present in the body, resulting in the continuous inflammation characteristic of ulcerative colitis.
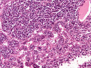
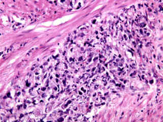
Uterine Sarcoma
Approximately 40,000 new cases of uterine cancer are diagnosed in the United States each year. The overwhelming majority of these cases are endometrial cancers, malignancies that originate in the endometrial lining of the uterus. As few as 2 to 4 percent of cancers of the uterus develop in the connective tissues of the organ, in which case they are termed sarcomas.
Viral Pneumonia
Viral pneumonias are believed to account for nearly half of all pneumonia cases and are usually considered less severe than bacterial varieties. They are most widespread during the winter months and sometimes begin as a common cold that progressively weakens and inflames the lungs. The viruses that can lead to pneumonia include respiratory syncytial, influenza, herpes simplex, and parainfluenza viruses, among others.
